Periodontology
What is periodontics?
Periodontics (or periodontology) is the specialty within dentistry dealing with the structures that support the teeth including the gums (ginigivae), the supporting bone, and periodontal ligament. Periodontics largely deals with problems with these structures, commonly referred to as gum disease (ginigivitis and periodontitis). Sometimes periodontal treatment can also involve the repositioning or recontouring of the gums to help with healthy maintenance and sometimes for aesthetic reasons. Specialists dealing with this range of issues are called Periodontists. Dr Sunnucks is very lucky to work closely with a selection of periodontits and any patient who requires these services will be offered an appropriate referral.
I have received the best possible treatment and care I could have expected. Everything has been excellent.
K Orace 2010

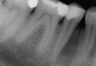
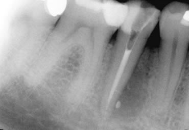
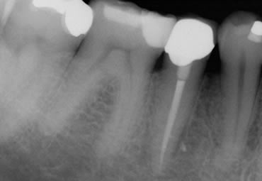
Case study



Large Perio-endo lesion, before treatment, during treatment and at 18 month follow up

