Prosthodontics
What is Prosthodontics?
Prosthodontics is basically the discipline in dentistry that deals with the restoration or replacement of teeth.
Prosthodontics involves the replacement and restoration of the teeth. This can include crowns, bridges, veneers, inlays, complete and removable partial dentures, dental implants, as well as treating TMJ jaw problems, traumatic injuries to the mouth’s structures (and/or teeth), snoring and sleep disorders.
Everyone is very helpful & kind, always ready to accommodate changes etc. I’ve had some bad experiences with previous dentists but have been treated very respectfully & efficiently by Tim and Kate.
J Beeching 2010

Treatment options
Crowns
A crown, or cap, can be required for a variety of reasons. Often a tooth that is heavily filled or has fractured will need to be crowned. In these instances, a crown is required to maintain the structural and functional integrity of the tooth. Teeth that have been root filled require a crown for the same reasons. Crowns are also provided to help improve the aesthetics of the teeth.
There are broadly 3 types of crowns:
1 Gold
The first type of crown is made entirely of gold. For cosmetic reasons, this is usually placed on back teeth. The wear characteristics as well as the fit of gold is excellent and it is generally accepted that gold restorations have the longest lifespan compared to other materials.
2 Porcelain bonded to metal
These crowns have a metal core with porcelain bonded on to this rigid foundation, and thus have advantages of strength and good aesthetics. These can be provided on front or back teeth. Despite the underlying metal, excellent aesthetics can be achieved with metal bonded crowns and these are often the most appropriate option.
3 All Ceramic
Finally it is also possible to have a crown made entirely of porcelain. Cosmetically, these are the most appealing but they may be more really suitable for front teeth and their use should be carefully planned.
The provision of a crown is usually carried out over 2 visits. During the first visit, the tooth is carefully prepared to allow room for the thickness of the crown. A temporary crown is made and fitted while the new one is being made. After the impression is taken of the tooth, the crown is custom-made by a lab technician according to the dentist's instructions. This is a very precise process, which ensures an exact fit. At the second appointment, the temporary crown is removed and the new crown fitted.
A crown is often the most reliable and predictable way of restoring strength to a weak tooth. The new crown should look, feel and function just like any of your natural teeth.

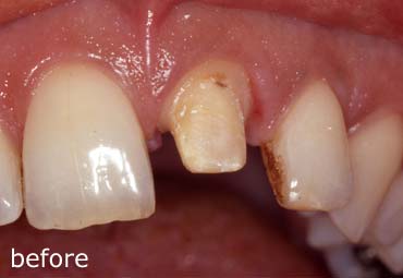
Before treatment to restore upper incisor

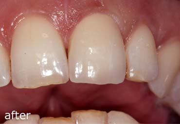
After treatment with Porcelain bonded to Metal crown

Example of an all-ceramic crown
Bridges

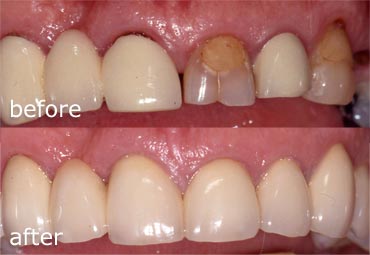
Example of crown and bridge case: Replacement of a conventional bridge and provision of crowns
Bridges are provided to replace missing teeth.
These can be a wide variety of design, but basically they can either involve the preparation of the supporting teeth (‘Conventional’ bridgework) or be of an adhesive design which is basically just bonded to the supporting tooth or teeth. Adhesive bridges (commonly of a design called ‘Maryland’ bridges) do often involve a little preparation of the supporting teeth, but this is minimal and usually does not even involve the need for anaesthetic.
Bridges are also usually provided over 2 appointments, the first being for preparation of the teeth, impressions and fitting of a provisional bridge. The second appointment is to try the new bridge in and if all is well to fit it. Depending on the complexity of the situation, there may be additional stages such as a ‘biscuit bake stage’ a technique where the bridge is tried in an unglazed form to allow adjustments to be made before the bridge is finished and fitted. In addition having a provisional bridge in place for a period of observation is often recommended to allow for review and adjustments to be made.
Bridges of course can be used in combination with other techniques such as the provision of crowns.
Partial/Full Dentures
Dentures are removable restorations to replace missing teeth. This can either be used to replace some or all of the teeth and can be used in conjunction with other restorations such as crowns and can also be supported by dental implants.
Removable prosthesis obviously have the disadvantage that they are not fixed, but can work very well and sometimes are the most suitable, or only option. They can be particularly appropriate in situations where many teeth are missing or where there has been very heavy loading applied to the teeth such as in the case below.


A combination of crowns, bridges and a denture to rebuild a patient’s badly worn teeth
FAQs
How long do crowns last?
This is of course a very open question and depends on so many factors. However in general, under ideal circumstances we would hope for crowns to last for 10- 15 years and they can of course last much longer.
How many teeth are likely to be involved?
The aim is always to keep tooth preparation to a minimum and to keep any restoration as simple as possible. Bridges therefore are designed to involve as few teeth as possible. We prefer to use lots of small units rather than long complicated bridges. This reduces the likelihood of failure as well as making dealing with any problems much more straightforward.
Are all ceramic (porcelain) crowns and bridges better than metal and porcelain ones?
There are advantages and disadvantages of both. All ceramic restorations have become very popular because of the excellent aesthetics but have to be handled with care. Porcelain bonded to metal crowns are very strong and it is still possible to achieve very good aesthetics indeed.
For bridgework we nearly always use a metal framework as these offer significant advantages in terms of strength.

